特集2 慢性呼吸不全 確実な予防・治療法は禁煙のみ 知らぬ間に病状がすすむことも
「息が苦しい」という症状が出たら、あなたならどうしますか? 痛みであれば「痛み止め」、熱は「熱冷まし」、咳は「咳止め」、下痢は「下痢止 め」で、家でもとりあえず対応できますね。でも「息苦しさ」は、家庭ではすぐに症状をとることができません。それだけに多くの人にとって不安な症状だと思 います。
今回は呼吸困難が長く続く状態=「慢性呼吸不全」と、その原因として、代表的な「COPD(慢性閉塞性肺疾患)」と「肺線維症」についてお話します。
酸素飽和度90%以下だと
呼吸は生物が生きていくのに欠かせないものです。私たちは呼吸をして、体のすみずみの細胞に空気の中の酸素を運び、いらなくなった二酸化炭素を体の外へ出しています。呼吸の働きが何らかの原因で悪くなると、「呼吸困難」を感じます。
呼吸困難の程度は、歩いたときにどれくらい息苦しくなるかでその度合を推測することができます。よく用いられるのがフレッチャー・ヒュー・ジョーンズの分類です(表)。
フレッチャ-・ヒュー・ジョーンズの分類
|
![]() |
| パルスオキシメータで酸素飽和度をはかる |
実際に呼吸がうまくできているかどうかはパルスオキシメータという機械(写真)を使い、血液中の赤血球に、酸素がどのくらいの割合でくっついているかで測ります。
もし100個の赤血球全部に酸素がついていれば、酸素飽和度は100%になります。普通は酸素飽和度は97~99%くらいです。これが93%以下になると、正常よりは体の中の酸素が少ない状態で、90%以下になると「呼吸不全」といえます。
器具で指をはさみ、指の脈の動きを通じて調べるという簡単なもので、今では血圧計と同じようにほとんどの診療所・病院にあります。
もう少し詳しく呼吸の状態を見るときは、採血をして「動脈血液ガス」を分析し、酸素だけでなく体から出ていく二酸化炭素の量も測ります。
レントゲン・CTで原因を
呼吸不全がある場合、どんな病気が原因になっているのか判断するには、次のような検査が必要です。
ひとつは胸部レントゲンです。肺に異常がないかどうか、かなりのことがわかります。レントゲンでは、普通の肺は心臓を間に挟んで黒く写り、中を走っている血管が白く写ります。
さらに詳しく調べるにはCTという検査が役立ちます。人間の体を「輪切り」にしたような画像を撮ります。以前は1枚撮るごとに息を止める必要がありましたが、最近のCTは数秒息が止められればすべての撮影がすむようになり、かかる時間がはるかに短くなりました。
もうひとつ肺の働きを調べる重要な検査として、スパイログラムがあります。
鼻をつまんで口からだけ呼吸ができるようにし、大きく息を吸ってできるだけ吐く。さらに大きく息を吸って、できるだけ早く吐き出す。これによって、肺の働きを調べます。このときにできる曲線をフローボリュームカーブといいます。
これらの検査をあわせておこなえば、肺に原因のある呼吸困難の原因は大部分わかります。
|
COPD 慢性閉塞性肺疾患 |
| 図1 正常な肺の構造とCOPD |
![]() |
気管支は肺の中に入ってどんどん枝分かれし、最後はブドウの房のようになっています(図1)。そのブドウ の粒のような部分が肺胞で、酸素を取り込んだり、二酸化炭素を体の外に出したりという役割をしています。肺はこの肺胞と、それをつなぎ合わせている間質と いうものからできています。
COPDは、喫煙や大気汚染などによって肺胞が破れて拡張したり、気管支が炎症を起こして気管支の壁が分厚くなり、気道が狭まったりした状態です。
2000年には、COPDは死因の第10位になり、喫煙者の増加とともに現在でも増えています。アメリカでは実に死亡原因の第4位です。現在、日本での患者数は、軽症の人も含めると、40歳以上の人口の8%前後と推定されており、決してまれな病気ではありません。
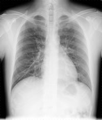
COPDはある程度進行すると、胸部レントゲンでも診断できます。肺胞が破れて拡張するので正常な肺(写 真(1))に比べて肺全体が大きくなり、肺とおなかの臓器を区切っている横隔膜の位置が下へ下がります。また心臓は膨らんだ肺に押されて長細くなります (写真(2))。
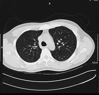
さらにその肺をCTで見ると、正常の肺構造では一つひとつの肺胞は小さくて見えないため、全体に均一な灰 色に写ります(写真(3))が、肺胞が破れた肺は空気の部分が黒く写ります(写真(4))。黒く写った部分はまったく酸素の取り込みができないため、いく ら呼吸をしても酸素が血液の中に入ってこない状態となり、「息苦しさ」を感じるのです。
| (1)正常な肺のレントゲン | (2)COPDの肺のレントゲン |
![]() |
![]() |
| (3)正常な肺のCT | (4)COPDの肺のCT |
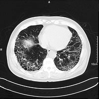
![]() |
![]() |
| 【COPD】レントゲンでは、正常の人に比べて肺が膨張し、横隔膜をおし下げ、心臓も圧迫しているのがわかる。CTでは、正常の肺は均一な灰色で血管の白い点がみられるが、COPDでは肺が破壊され黒っぽくなり、血管が少なくなっている。 | |
■患者の90%以上は喫煙者
COPDは残念ながら、一度進行すれば元には戻りません。破壊された肺が治ることはないのです。
ですからなるべく早めにCOPDを診断することが重要で、先ほど紹介したスパイログラムが役に立ちます。 スパイログラムで1秒間に吐き出せる空気の量が正常の人の8割以下なら、中等症以上のCOPDといわれています。重症になると、肺活量(肺に入る空気の 量)も減ってきます(図2)。
| 図2 スパイログラムのフローボリュームカーブ |
![]() |
人間ドッグなどにはスパイログラムを取り入れているところもあります。たばこを吸っている方は自分の知らない間にCOPDになっていることもありますので、ぜひ一度検査を受けてください。
治療についてですが、COPDの進行を抑える唯一の治療は禁煙です。たばこを吸う方のすべてがCOPDに なるわけではありませんが、COPDがある人の90%以上は喫煙者です。肺の働きは、健康な人でも年齢を重ねることにより落ちていきますが、たばこで肺を 傷めることでより早く衰えます。たばこを吸い始めた人でも禁煙すれば、早くやめればやめるほど、COPDの症状が出るまでの期間を先延ばしすることができ ます(図3)。
| 図3 喫煙と1秒量の年齢的な変化(25歳を100として表示) ※1秒量=1秒間に吐き出せる空気の量 |
![]() |
ただしたばこは「ニコチン依存症」という病気です。自分の意志だけではなかなかやめられません。ニコチン だけを体に入れて、たばこを吸う習慣をやめ、禁煙を成功しやすくする貼り薬(ニコチンパッチ)なども、医師の処方があれば手に入れることができます。なか なかやめられない方はぜひ禁煙指導をしている医療機関を受診してください。とにかくたばこは一刻も早くやめましょう。
■症状を軽くするためには
禁煙以外では、症状をなるべく軽くする治療が中心になります。
気管支拡張薬は気管支を広げることによって空気の出し入れをしやすくするもので、吸入薬や飲み薬、貼り薬などがあります。痰が多くてからんで息苦しくなる方には、去痰薬などで効果が出ることもあります。
また、呼吸不全が進んで血液中の酸素の濃度が90%を下回るくらいになってくると、普段私たちが吸っている空気よりももう少し濃い酸素が必要になり、家に酸素濃縮器や液体酸素を置いて、鼻に酸素の流れる管をつけて生活する方法もあります(在宅酸素療法といいます)。
酸素を詰め替える必要ないため酸素濃縮器の方が普及していますが、電気代がかかります。呼吸不全の進んだ 人では長時間酸素吸入をしっかりするほうが長く生きられることがわかっています。経済的な理由から「酸素をしないようにしている」という患者さんが出ない よう、可能な手だてをとりたいものです。
|
肺線維症 間質に炎症おこす |
| 図4 正常な肺の構造と肺線維症 |
![]() |
慢性呼吸不全になるもうひとつの代表的な病気として肺線維症があります。別名を「間質性肺炎」といい、病 気が進むと「肺線維症」と呼ばれます。肺胞をつなぎ合わせている間質に炎症が起こって分厚くなり、酸素を取り入れる血管までの距離が遠くなるため、呼吸を しても酸素が体の中に入っていきにくくなる病気です(図4)。
炎症が、肺のごく一部にとどまっているときは自覚症状はありませんが、広い範囲にわたると歩行などの作業によって強い呼吸困難があらわれます。胸部レントゲンやCTでは肺の炎症の部分が白く網目のように見えます(写真(5)(6))。
間質性肺炎の原因はまだわかっていないものも多いですが、リウマチなどの膠原病や、アスベスト(石綿)の 吸入などによっても起こることがわかっています。アスベストの吸入が原因で起こる肺線維症は「石綿肺」といって労災の適応になりますので、この病気である と診断された人はアスベストを吸いこむような仕事・生活をしていなかったかどうかを確認する必要があります。
肺線維症も確立された治療法はありません。原因によっては、ステロイド薬が用いられることもあります。呼吸不全が進めば、在宅酸素療法が必要になります。
| 図5 肺線維症の肺のレントゲン | 図6 肺線維症の肺のCT |
![]() |
![]() |
| 【肺線維症】両肺の中~下を中心に網目状に見える陰影が炎症部分(5)。肺の周辺に線維化が起こり、蜂の巣のように見える(6)。 | |
少量でも栄養ある食事を
慢性呼吸不全があると、呼吸をするのにエネルギーを余計に使います。しかしCOPDのある人はおなかいっ ぱいになるまで食べると横隔膜が持ち上がって肺を圧迫して息苦しくなるため、食事を減らしがちで、体重が減ってくる傾向があります。そうなると呼吸に必要 な筋肉の力まで落ちてしまいます。量は少なくとも栄養価の高い食事を取る工夫が必要です。
また、もともと肺が悪い人が風邪をひいたり肺炎を起こしたりすると、呼吸の状態がさらに悪くなります。インフルエンザのワクチン接種は毎年受けるようにしてください。普段は風邪の予防のために手洗いやうがい(水で結構です)をなるべくするようにしましょう。
肺は一度壊れてしまうと再生しにくく、息苦しさは非常につらい症状です。慢性呼吸不全になる原因のうちで確実に予防できるのは禁煙だけです。くり返しになりますが、すでに息苦しさを自覚している人はもちろん、まだ自覚症状のない人もぜひ禁煙しましょう。
いつでも元気 2006.5 No.175











