언제나 건강 2012년 9월 특집2 [치과혹서-제2탄-] 발표 (관청의 ‘백서’와 대비적으로 민간의 ‘흑서’라는 단어와 같은 일본어발음의 ‘혹서’를 씀으로써, 너무도 가혹한 현실을 고발한다는 의미를 지님. )
구강상태로 파악되는 격차와 빈곤
안심하고 진료를 받을 수 있는 제도의 실현을
![]() |
|---|
| 죠 세츠코・오사카 미미하라진료소 사무장 (전일본민의련 치과부원) |
여러분은 ‘치과 진료를 받는다’고 하면 ‘무섭다’ ‘상당히 아프지 않을까?’생각하지는 않는지요. 또한, “치과 치료비가 비싸다”고 생각하는 분도 계시겠지요. 많은 분들이 이러한 인상을 가지고 있는 치과는, 아직까지도 문턱이 높은 존재일지도 모릅니다.
전일본 민의련 치과부에서는, 경제적 사정으로 치과 치료를 받지 못하고 ‘구강 붕괴’에 이른 사례를 모아 [치과혹서]라 명명하여, 2009년 11월에 발표, 본지의 2010년 2월호에 소개하였고, 많은 독자로부터의 반향을 불러일으켰습니다.
![]() |
|---|
| 6월 14일 [치과혹서-제2탄-] 발표기자회견을 후생노동성 기자클럽에서 거행, TBS,NHK, 도쿄신문 등 7개 언론사가 취재했다. 빈곤에 의한 건강 양극화는, 구강내 상태에서도 확대되고 있음을 나태낸다고 역설했다. 사진은 에바라 마사히로 전일본민의련 치과부장(중앙), 오자키 테츠 부부장(왼쪽)과 필자. 같은 날 저녁 TBS 뉴스에서 보도되었다. |
그러나, 그 후에도 이러한 사례는 끊임이 없었습니다.
제 자신도 일상 진료활동 중에, 초진 때부터 비용 문제가 신경이 쓰여 “제일 싼 치료만 해달라”는 사례, 치료 도중에 진료받기를 중단하는 사례 등을 자주 접하며, ‘격차와 빈곤’이 확대되고 있는 상황을 실감합니다. 치과진료를 받고 있지 않은 분들까지 포함하면 얼마나 많은 환자들이 잠재하고 있는지 모릅니다.
경제적 곤궁・노동환경이 배경
전일본 민의련 치과부는 올해 6월 [치과혹서-제2탄-]을 발표했습니다. ‘무료저액진료사업’을 실시하고 있는 치과사업소에서 보내온 보고서 중 28개의 사례를 “격차와 빈곤이 만들어낸 구강붕괴”로 정리한 것입니다.
무료저액진료사업이란, 사회복지법 제2조 제3항 및 법인세법 시행규칙 제 6조 4항에 기초하여, 경제적 이유로 창구부담(본인부담액)을 지불하지 못해서 진료를 받지 못하는 사람들에 대해, 환자부담을 무료 또는 저액 저가로 진료하는 제도입니다. 행정의 인가를 얻은 사업소에 한해서 실시 가능합니다.
2012년 4월 현재, 민의련에서는 284개 사업소가 이를 실시하고 있으며, 그 중 치과는 29개 사업소입니다.
이번의 [치과혹서]에 정리된 28개 사례는 모두, 진료를 받지 못한 배경에 ‘경제적 곤궁’ ‘무보험’ ‘혹독한 노동환경’ 등 여러가지 요인들이 있고, “조기에 치료를 받았다면 이렇게까지 심해지지 않았을 텐데”하는 느낌을 주는 것들 뿐이었습니다.
사례들로 알 수 있는 현실
[치과혹서-제2탄] 중에서 몇 가지 사례를 소개합니다.
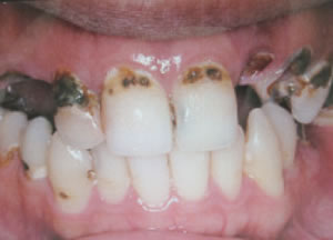
<장시간노동의 청년 사례>
20대 남성(왼쪽사진).16세부터 선술집에서 아르바이트를 하고, 고등학교 다니지 못하게 되어 중퇴. 그 후 아르바이트에 전념. 밤에 일하고 낮에 자는 생활로, 양치질도 하지 않고 충치로 이가 빠지고 있어도 신경쓰지 않았는데, 점점 구강상태가 나빠지고, 치통을 참아야 하는 상태가 되었다. 밤나지 바뀐 아르바이트 생활로 인해 치과 진료를 받을 시간이 없었다.
아르바이트를 그만두고 정직 상태가 되었지만, 아침부터 늦은 밤까지 장시간 노동 때문에, 진료를 받지 못햇다. 흡연, 금전적 문제도 있었지만, 가혹한 노동환경에 처해 있던 것이 구강내 붕괴가 진전된 커다란 원인으로 생각된다.
<병을 이유로 무수입자가 된 사례>
임대아파트에서 혼자 사는 40대 남성. 경비원(계약직사원)으로 일하고 있었으나, 건강진단에서 신장결석과 대장종양이 발견되어 입원, 수술. 병을 이유로 일터에서의 계약이 파기되고, 그 뒤로 무직, 무수입. 저금도 없고, 실업급여 8만 3천엔과, 지인으로부터의 원조로 생활하고 있다.
현재의 수입으로는 의식주를 감당치 못하고, 의료비 부담도 어렵기 때문에 방치하지 않을 수 없었다.
<보행 곤란으로 실업자가 됨>
60대 남성. 오랫동안 트럭운전수로서 생계를 꾸려왔지만, 4년 전에 하반신마비로 취업곤란. 실업급여와 부업으로 생활해왔지만 생활을 유지할 수 없게 되어, 아들과 살림을 합쳤다.
당뇨병 진단도 받아 치료를 시작했지만, 경제적 이유로 진료를 받을 수 없게 되었다. 지병인 디스크도 악화되어 보행곤란. 힘든 생활 상황을 아들에게도 말 못하고 구청에 상담한 결과, 민의련 치과를 소개받아 진료를 받았다.
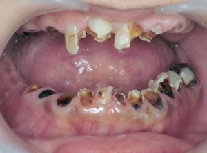
<구강상태가 취직활동에 지장>
혼자 살고 있는 혼혈인 50대 여성(왼쪽사진) 따로 사는 생활보호대상자인 부모로부터 소액의 용돈을 받아서 생활하고 있다. 일본어회화는 가능하지만, 읽고 쓰기에 핸디캡을 지녔다. 구강내의 상태가 좋지 않아서 면접을 할 때도 좀처럼 채용되지 않아서, 취직할 수 없었지만, “자립생활을 하고 싶기 때문에 분납으로 치료를 부탁하고 싶다”며 진료를 받았다.
환자와의 면담으로 알 수 있는 것들
무료저액진료제도을 적용하는 데에는, ‘수입이 생활보호기준의 1.2배 이하라면 무료’ 등, 사업소에서 정해진 적용기준이 있기 때문에, 환자들과의 면접을 하고 있습니다.
저도 면담에 들어가지만, 환자들의 말을 꼼꼼히 들어보면, 일반적인 진료만으로는 보이지 않았던 환자들이 놓인 어려운 상황들을 알게 됩니다. 너무 비싼 국민건강보험료를 지불할 수 없고, 단기보험증, 자격증명서 또는, 원래부터 보험에 가입하지 않고 있었던 무보험자도 많이 볼 수 있습니다..
면담한 분들 중에서, “하루에 죽 한 그릇으로 살고 있다”는 분도 있었습니다.
이분은 엔지니어를 하고 있는 60대 남성입니다. 과거에는 일정한 수입이 있어, 치과치료도 확실히 받고 있었음을 당 치과에서 촬영한 엑스레이 사진으로 알 수 있었습니다. 그러나 불경기 속에서 일자리를 잃고, 수입이 끊기는 바람에 생활곤궁에 처했습니다. 국민건강보험료를 체납한 탓에 독촉이 점점 더 심해지고, 결국에는 예금통장의 잔액 전액을 시가 압류했습니다.
면담에서 이분은 “내가 수년 전까지 열심히 일하고, 보험료도 세금도 꼬박꼬박 납부해왔다. 그런데도 정말 힘들 때는 행정이 도와주지 않았다. 믿을 게 하나도 없다.”라며 괴로운 듯 말했습니다.
구강건강의 양극화
후생노동성과 일본치과의사회는 80세에 20개의 치아를 남기는 ‘8020운동’을 하고 있습니다. 달성률이 4할 가까이 향상되었고, 또한 어린이들의 충치도 감소하고 있지만, 일부 사람들에게 이렇게 중증 사례들이 집중되어 있습니다. 결국, 국민의 구강내의 상황이 양극화하고 있는 것입니다.
구강붕괴가 일어나고 있는 사람들의 많은 수가 사회적으로 고립되어 있고, 경제적인 이유로 치과 진료를 받지 않은 채 방치해온 경우들입니다.
“통증이 너무 심해서 참을 수 있는 한계를 넘었다” “치아가 거의 없어져 뭘 씹을 수가 없게 되었다” “앞니가 없어 볼품 없으니, 취직과 대인관계에 장애가 된다” 등의 이유로, 치과 병원에 문을 처음으로 두드리게 되지만, “왜 이런 상태가 될 때까지 방치했는가” 생각하지 않을 수 없습니다. 비정규직 채용의 확대로, “돈이 없으면 병원진료도 못 받는” 사태가 점점 심각해지고 있습니다.
경제약자는 건강약자
치과에서 ‘무료저액진료제도’에 적용된 사람들의 다수는, 치과 이외의 병을 앓고 있어 치료를 필요로 하고 있었습니다. 경제 약자이면서 동시에 건강 약자이기도 합니다. 그리고, 치과 치료 자체는 무료저액진료사업으로 일정 치료를 끝낼 수 있다고 하더라도, 내과적인 만성질환이 있는 경우, 경제적인 이유로 필요한 치료를 계속할 수 없는 경우가 적지 않습니다.
구체적으로는 병을 앓게 되어 직장을 잃고, 수입이 끊긴 것이 원인인 되어 진료를 중단하고 있거나, 병원의 진료 횟수를 줄이거나 하는 사례가 있습니다. 심장질환과 당뇨병 등의 지병이 있고, 매일 약을 복용해야 함에도, 투약은 무료저액진료가 인정되지 않는 조제약국입니다. 때문에, “매일 먹을 약을 더 나눠먹는 것으로 조금이라도 약값부담을 줄이고 있다”고 말하는 환자도 있습니다. 의료기관과 약국을 분리한 ‘의약분업’은 국가가 촉진한 것입니다. 그럼에도 불구하고, 무료저액진료제도에서 조제약국이 제외되고 있기 때문에, 이러한 모순이 생겨난 것입니다.
고치현 고치시에서는, 무료저액진료제도를 시행하고 있는 우시오에 진료소가, 경제적으로 곤궁한 환자들의 힘든 실태를 행정에 보고하고, 의료와 빈곤의 실태를 발신해나가고 있습니다. 그 결과, <생활보호 등의 별도 제도와의 연계하는 2주간>이라는 기간한정이기는 하지만, 약값도 조성대상이 되었습니다. 이것은 전국에서 처음 있는 일이었습니다. 이러한 조치가 전국에 확대되도록, 행정에 촉구해나갈 필요를 느낍니다.
구강붕괴는 사회적인 문제
전일본민의련 치과부는, 구강붕괴의 실태를 목전에 두고, 의료기관만으로는 해결할 수 없는 사회적인 문제라는 생각을 강하게 합니다. 많은 분들과 연계하여, 사회보장 등의 세이프 네트워크의 확충, 국민보험료, 의료비의 보인부담금의 인하 등, 국가와 행정의 책임으로 모든 국민이 안심하고 의료혜택 진료를 받을 수 있는 제도의 실현을 요구해나아가는 운동을 확대시켜나가고자 합니다.
- 記事関連ワード






