Min-Iren Publishes Black Paper on Dental Health — Part II Social Inequality and Poverty Revealed by Oral Examination
— Establishment of affordable and safe dental treatment system necessary —
By Jo Setsuko, Executive Director, Mimihara Dental Clinic, Osaka/
Member of Dental Department of Min-Iren
“Seeing a dentist” might make you think of “fear” or “painful treatment.” Some people might think that dental treatment costs too much. Generally, dental treatment seems to be something people tend to avoid as much as possible.
In November 2009, the Dental Department of the Japan Federation of Democratic Medical Institutions (Min-Iren) published the first Black Paper on the appalling oral health cases of the people who could not receive proper dental treatment due to economic difficulties. It was reported on this magazine’s February 2010 issue, which drew a huge reaction from the readers. However, such cases never seem to die down.
In everyday work at my clinic, I myself often come across a number of patients who, from day one, request that the treatment should be done with least possible cost, or who give up coming for treatment halfway.
They are the proof of growing “social inequality and poverty.” If we include those who have not yet consulted dentists at all, we cannot imagine what a huge number of potential patients there could be.
Economic destitution and worsened working environment found in the background
In June this year, our Department issued the “Black Paper on Dental Health — Part II.” This paper compiled 28 cases of ruined dental health reported by Min-Iren’s dental clinics carrying out the Free/Low Cost Medical Service.
The Free/Low Cost Medical Service is conducted at some medical institutions approved by the government, where medical treatment is provided free of charge or at a very small cost to patients who cannot afford to pay their share of the medical cost at hospital cashiers due to economic reasons. This scheme is based on the Social Welfare Act (Item 3 of Article 2) and the Order for Enforcement of the Corporation Tax Act (Item 4 of Article 6).
As of April 2012, 284 institutions affiliated to Min-Iren provide treatment under the scheme, including 29 dental clinics.
In the background of all of the 28 cases included in the Black Paper we can find “economic difficulty,” “no national health insurance payment,” or “harsh working conditions.” Every one of these cases could have been avoided if the patients had been able to consult dentists in early stages.
Case Studies:
<Long working hours>
A young man in his 20s: Having worked at a bar since he was 16, he dropped out of high school. Working at night and sleeping during the daytime without even brushing teeth, his dental health was gradually eroded. At first he did not care much about lost teeth, but soon the situation got worse and he began to suffer from toothache. But due to his working schedule, he did not have time to go to the dentist. Later he got a regular job, but again due to the long working hours from morning till night, he could not see the dentist. Smoking and financial difficulty were also part of the problem, but the harsh working environment was the main cause of ruining his oral health.
<No income due to illness>
A man in his 40s living alone in a rental flat: He was working as a security guard (on a contract basis), but kidney stones and a polyp in the colon were found in a regular health checkup, and he was hospitalized and had a surgery. His contract was cancelled due to the illness and he lost his income. With no savings, he now lives on the unemployment benefit (83,000 yen per month) and financial help from his friends. With the current income level, he could not afford even clothing, food and housing, let alone dental expenses, so he had to leave the dental problem unattended.
<Lost employment due to difficulty in walking>
A man in his 60s: For a long time he had worked as a truck driver, but 4 years ago he suffered numbness in his lower limbs and could not continue to work. After receiving unemployment benefit and living on a meager income through a side job at home for some time, he could no longer live an independent life, and decided to live with his son.
Diagnosed as having diabetes, he started to receive medical treatment, but had to stop it due to economic reasons. His long-held disc herniation problem made it impossible for him to walk. In the dire living condition he finally consulted a local welfare office, and was referred to Min-Iren’s dental clinic.
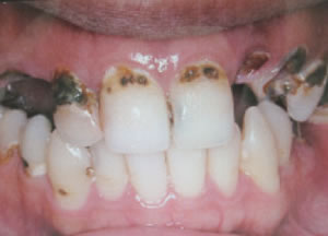
<Oral problem hinders employment>
A woman of mixed parentage in her 50s living alone (Photo 2): She had lived on a small pocket money given by her parents living separately on welfare. She could talk in Japanese, but had difficulty reading and writing. Due to the bad oral condition she had difficulty getting employed, despite repeated job interviews. She came to Min-Iren’s dental clinic asking for a treatment, saying, “I want to live an independent life, so please treat my teeth. I will pay in installments.”
Reality revealed through interviews with patients
In order to apply for the Free/Low Cost Medical Service, some conditions set by each institution should be met, such as “Less income than 120% of the welfare standards,” so an interview with the patient is necessary.
Listening carefully to the patients on their situations, their hardships, not easily seen through just their regular hospital visits become clear. Many of them cannot afford to pay a high National Health Insurance tax. Within several months of arrear in payment, their status is downgraded and they are issued with a “short-term insurance card” or “certificate of qualification” card only. With the latter, patients are required to pay the full medical cost at the hospital cashier. There are also many who, from the beginning, have never been enrolled in the National Health Insurance system.
One of my interviewees said he lived on only one bowl of rice porridge a day. He is in his 60s and used to work as an engineer . In the past, he earned a decent income and used to receive dental treatment regularly, as observed by an X-ray image of his teeth taken at our clinic. However, he lost his income in the wake of the severe economic downturn, and became impoverished. His payment of the National Health Insurance tax was in arrears. Pressing for payment from the national health insurance office grew more and more intense, and finally, what little amount left in his bank account was seized by the office.
In the interview, he said bitterly, “Just until a few years ago, I worked hard and diligently paid my health insurance fee and income tax. But when I fell in a deep trouble, the government or official bodies never tried to help me. I have lost all my confidence in the society.”
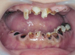
Polarization of people’s oral health conditions
The Ministry of Health and the Japan Dental Association have been campaigning to secure at least 20 teeth at the age of 80. About 40% of the people over 80 have achieved the target now, and children’s tooth decay has been decreasing. But on the other hand, we are witnessing very serious dental conditions among some parts of the population, proving the polarization of the nation’s dental health situation.
Many of these patients with the “dental breakdown” were isolated in the society, and had to leave their bad teeth untreated due to economic reasons.
“The pain has become unbearable,” “With most of my teeth gone, I cannot bite or chew anything,” “I lost my front teeth and am so poor-looking. I have difficulty getting jobs or communicating with other people” — with these reasons they finally come to knock on our dental clinics, and we cannot but wonder how they have endured such appalling conditions until then.
With non-regular forms of employment rapidly increasing, the current situation in which many low-income workers “cannot afford to see the doctors” is being aggravated.
The economically disadvantaged are also physically disadvantaged
Many of the dental patients who apply for the Free/Low Cost Medical Service had other health problems requiring medical treatment. They are disadvantaged both economically and physically. They may be able to complete a certain level of dental treatment under the Free Medical Service scheme, but if they have some chronic internal conditions, in many cases they cannot continue necessary treatment because of economic difficulties.
For example, a patient may stop seeing the doctor or decrease the number of visits to the hospital after losing his/her job from illness. Even if the patient has heart disease or diabetes and is in need of taking medicine every day, the cost of medicines from pharmacies are not covered by the Free Medical Service scheme. So some patients try to lower the burden of pharmaceutical expenses by taking less amount of medicine per day than required. It was the government that has promoted the separation of dispensing and prescribing functions of medical institutions, but as the Free Medical Service does not cover the dispensing pharmacy costs, such a conflicting situation emerges.
Ushioe Dental Clinic (Kochi City in Kochi Prefecture), an institution undertaking the Free/Low Cost medical Service, keeps reporting to local government authorities on the difficult situations of low-income patients, revealing the reality of medical services and poverty. As a result, with the time-frame of 2 weeks up until the patient can receive welfare allowance or other official financial assistance, the pharmacy cost was also made exempt in the city. This is the first such case in Japan. We believe it necessary to lobby the local and national governments to take such additional measures all over the country.
Dental breakdown is a social problem
In the face of the dental breakdown situation, we in the Dental Department of Min-Iren increasingly believe that this problem cannot be solved by the effort on the part of medical institutions, but must be tackled as an overall social problem. By working together with a broad range of people, we are determined to develop our movement to demand the improvement of the safety net for the people, including better social security measures, lowering of the National Health Insurance tax and patients’ payment at hospital cashiers. National and local governments should be responsible for providing all the people in the country with necessary medical services, setting them free from anxiety.
- 記事関連ワード
