医療研究室 1枚の報告書に収まらないデータが最良の治療に生かされるために
【長野・健和会病院 病理科・医師】
病理医は今や臨床医でもある
医療における病理医の役割
「みなさんは「病理」と聞いて何を連想するでしよう。
低学年の人は全く想像もつかないかもしれません。また、病理学を学んだみなさんにも、生きている人間、いいかえれば患者さんは浮かんでこないかもしれません。
現在、「病理」は、「研究」の分野と臨床の一つの分野である「病理科」に大別され、それぞれ重要な役割を担っています。とりわけ最近は、臨床も理解で き、人間の全臓器の正常と疾患による変化を組織学的に評価する「病理医」の役割が大きくなってきています。
病理診断は、しばしば決定的な診断という意味で「final diagnosis」ともいわれており、臨床医の決断をバックアップする上で極めて重要な情報となります。
診断、治療、予後推定などの検討会では、個々の患者さんに最適の方法が医師集団の総力で決定されます。その場に「病理医」が参加することは、一枚の「病理診断報告書」に収まらない多くの情報を臨床に提供することになります。
また、病理医にとってもこの検討会に参加することは重要で、患者に最も必要とされる情報は何かを知る機会にもなります。
さらに、剖検例の臨床病理検討会(CPC)や術後検討会は、医療の中身を客観的に評価する場であることはいうまでもありませんが、この場でも病理医の発言は極めて重要な意味を持ちます。
病理技術の進歩
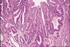
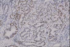
病理学的検索も、ヘマトキシリン・エオジン染色(HE染色)の形態学から広がっており、その成果を臨床の場にも取り 入れています。写真1は胃癌のHE染色、写真2は変異癌抑制遺伝子p53産物の免疫染色の陽性像ですが、癌の生物学的態度を予想する因子が一般病院の病理 検査室で染色できる時代になりました。
![]() |
![]() |
|---|---|
| 写真1 | 写真2 |
また、情報処理の分野も大きく変わってきています。コンピューターLANを組み、複数の病理医が情報を共有すること や患者情報を瞬時に利用すること、臨床現場へ病理情報を正確に伝えることなどが実用段階に達しています。図は画像処理を使った食道癌と胃癌の同時性重複癌 の報告例です。
![]() |
|---|
みてほしい!民医連病理医の活動
現在、「病理医」の役割も、病理診断ばかりでなく、細胞診や臨床検査医学の分野へと広がってきています。検査情報という患者の診断、治療を支える客観的データの評価者、管理者としての役割が期待されています。
患者の立場に立つ医療を実践する民医連の病院や診療所は、ベッド数などの規模の割には「病理医」の配置が多くなっています。民医連が臨床における「病理医」の必要性を痛感しているからに他なりません。
ぜひ、病理科のある民医連の病院を訪ねてみて下さい。臨床医としての「病理医」の活躍をみることができると思いますよ。
●束原進(つかはらすすむ)医師のプロフィール
2年間の臨床研修後病理研修を行ない現在に至る。日本病理学会認定医。日本臨床細胞学会指導医。
Medi-Wing 第10号より
- 記事関連ワード
- 検査



