医療研究室 胃癌予防のカギ――Helicobacter pylori
【京都民医連第二中央病院 内科医師】
ヘリコバクター・ピロリ除菌療法の現況
Hp(ヘリコバクター・ピロリ)が起こす基本的な病態は、好中球と多量の単核細胞の浸潤を特徴とする組織学的活動性胃炎である。(図1)臨床的には、消化性潰瘍、慢性萎縮性胃炎の発症と進展、胃癌、low-grade Maltoma(低悪性度粘膜関連リンパ腫)などと深く関わっている。
消化性潰瘍のHp除菌療法の意義
消化性潰瘍のおよそ80~95%がHp感染と関与している。図2は私たちが92年から96年2月までに除菌療法を施 行した462例の消化性潰瘍患者の累積非再発率を示している(q)。Hp除菌成功例は、制酸剤の維持療法を行わなくても長期にわたって潰瘍再発が少ない。 このようにHp除菌療法はきわめて有効であるため、すでに欧米では制酸剤からHpの除菌に潰瘍治療の中心が移っている。わが国でも今後、保険適応になる見 通しである。
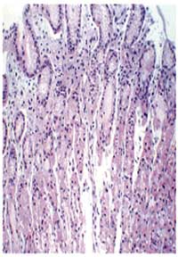
| 図1 | |
|---|---|
![]() |
![]() |
| H.pylori による慢性活動性胃炎(左)と除菌後に正常に復した胃底腺(右) | |
Hpと胃粘膜萎縮・腸上皮化生と胃癌
WHOは、94年にHpを「確定的な発癌因子」と結論していたが、動物実験で癌との直接の因果関係が証明されたのはつい最近のことである(w)。しかしなぜ、同じようにHp感染の多い国の中でも日本に慢性萎縮性胃炎や胃癌の発症が多いのかなど不明な点が多い。
現在の最大の関心事は、はたしてHp除菌によって胃粘膜の萎縮や腸上皮化生の進行が防止できるか、またその延長線上にあるとされている胃癌の発生が予防 できるかという点にある。図3は私たちが302例で検討したHp除菌後の胃粘膜萎縮と腸上皮化生の経年的な変化である(e)。A群B群C群の群分けはこの 順に胃粘膜萎縮の程度が進行した群であることを示し、縦軸のスコアは生検組織での萎縮・腸上皮化生の程度を示している。Hp除菌によって、少なくとも組織 学的には萎縮・腸上皮化生ともに長期的には改善するというのが現時点での私の評価である。日本では96年からHp感染と胃癌発生の関係について大規模な前 向き介入試験が始まっている。
除菌法の問題点
現在日本で治験が進行しているHp除菌法は、プロトンポンプ阻害剤(強い制酸剤)の倍量に抗生物質であるAMPCと CAMを組み合わせた新3剤療法である。問題は、すでにわが国ではCAMへの一次耐性が欧米に比して多いこと(10%前後)、また除菌の失敗例では高率に CAM耐性が獲得されることである(二次耐性)。また除菌治療後の問題として、胃・十二指腸のびらんの発生や逆流性食道炎(逆食)の発生がある。逆食の発 生はわが国では数~10%程度であるが、私たちは胃粘膜萎縮の度合いによってこの逆食の発生頻度が異なり、B群すなわち胃体部での中等度の萎縮を示す群に 多いことを報告している(r)。(図4)除菌法や耐性菌の問題、除菌後に出現する病変など、今後解明すべきことが多くある。
WarrenらがHpの存在を世に知らしめてから(t)15年が経過し、上部消化管疾患の概念はすっかり塗り替えられてしまった感がある。しかし、この 分野はまだまだ発展途上であり、課題が多い。私たち民医連は今後、全国組織の利点を生かしてHpについての全国的な共同研究を行っていく予定である。
将来みなさん方がこの分野で、臨床研究に意欲を持ってとりくまれることを期待している。
Medi-Wing 第15号より
- 記事関連ワード




