肝臓病(下)肝硬変と肝がん 肝がんは定期検査で早期発見・治療を 塩分のとりすぎなど食生活には十分な注意を
![]() |
| 山岡伸三 愛媛・新居浜協立病院 |
前回は、C型肝炎の診断や治療についてお話しました。そのなかで、「C型肝炎の治療の目的は、何よりも肝 硬変、肝がんへの進展を食い止めることです。C型肝炎そのもので命を落とすことはありません。肝硬変、肝がんへ進展しないかぎり健康な人たちと同様の人生 を送ることができるのです」と説明しました。
今回は、その肝硬変と肝がんについて紹介したいと思います。
| 肝硬変がすすむと 自覚症状がはっきり |
肝硬変をその原因別にみてみますとB型やC型といった肝炎ウイルスとアルコールが主な原因となっています。また、C型肝炎の比率が年々上昇しているのがわかります。
では、肝機能異常を示した人は、みんな肝硬変へ進展する心配があるのでしょうか。
基本健康審査や職場健診、人間ドックなどで一番多い異常は、「肝機能障害」だといわれています。そのすべての人が将来肝硬変になるわけではありません。
精密検査をしてみると、肝機能異常者の多くは肝臓に脂肪が沈着した「脂肪肝」という状態です。この「脂肪肝」は、それだけで肝硬変に進展することはありません。健診でひっかかったとき、精密検査を受ける意義がそこにあります。
それでは、肝硬変はどうして起こるのでしょうか。
肝硬変とは、原因が何であれ、肝臓に慢性の炎症が持続することによって起こります。慢性の炎症により肝細胞の壊死(細胞が死んでしまう)と再生(肝細胞 が再び作られる)がくり返されると、肝細胞間のすきまに線維が伸びて増殖し、肝臓全体が固くなってしまった状態になります。
そのために肝細胞の働きが落ち、肝臓へ流れている血液が流れにくくなり、周りの臓器の血管がはれたり、傷ついた肝細胞の集団の中にがん細胞ができてしまう、などさまざまな弊害が出てきます。
こうした弊害により肝硬変が進行してくると、「身体がだるい」「血が止まりにくい」「あしがむくむ」「お腹がはる」などの症状が出てくるのです。慢性肝炎では肝機能検査値にかかわらず自覚症状がほとんどないのとは対照的です。
| 早期診断で状態にあわせた 治療が可能になった |
肝硬変は、肝臓病の終着駅だという話をしました。昔はがんと同じく、患者さんには病名を伏せていた時期がありました。隠すというより腹水でお腹がパンパンになり、黄疸で身体が黄色くなってはじめて医師も「ああ肝硬変だ」と診断できたのです。
今では、血液検査や腹部超音波検査などで早期の肝硬変を診断できるようになっています。肝硬変と診断されて10年、20年と長生きされている方がたくさんいます。
肝硬変は、肝臓病としては終着駅かもしれませんが、決して人生の終着駅ではありません。くれぐれも悲観せずに療養してほしいと思います。
ポイントは、日常生活の療養と定期的な検査・治療です(図)。
|
図 肝硬変の療養ポイント
|
日常生活では、肝硬変の状態にもよりますが、比較的落ち着いた状態(代償性肝硬変)であれば、激しいスポーツや過労を避け、仕事のセーブも一定必要でしょうが、普通の生活を送れます。
黄疸や腹水、むくみなどがあらわれる非代償性肝硬変になってくると、仕事やスポーツの制限や安静が必要になってきます。主治医とよく相談し、療養計画を立てましょう。
食事も、慢性肝炎の時期と同様、むずかしく考える必要はありません。たんぱく質、ビタミンの豊富な食事をバランスよく食べることです。
ただし、肝硬変は肝臓の機能が落ちて食べた食事がうまく利用されにくい状態ですから、いくつか注意が必要です。ひとつは、慢性肝炎の時期以上にたんぱく 質など食事内容に気を使いましょう。安易に食事を抜かないことも大切です。また、塩分のとりすぎはむくみの原因にもなりますのでひかえましょう。
また、肝性脳症など合併症がでてきたときは、たんぱく質の制限が必要になってくることがあります。主治医とよく相談しましょう。
定期通院と治療は、合併症を早期に診断し早期治療につなげるためにも大切ですし、その時どきの肝硬変の状態を把握し、必要な治療を継続し、できるだけ安定した日常生活を続けていくためにも大切です。
肝硬変の状態によって、体内のたんぱく質を増やす薬、むくみや腹水を改善させる薬など、さまざまな薬を使っての治療も行なわれます。肝保護を目的とした点滴注射なども行なわれます。
| 3つの大きな合併症と その診断・治療 |
さて、昔から肝硬変には3つの大きな合併症があり、生命の危険もともなうことから重要視されています。それは、?肝不全、?静脈瘤、?肝がんです。
かつて肝硬変の死亡原因の割合は、この3つの合併症がそれぞれ3割ずつでしたが、近年は約7割が肝がんの合併によるものとなっています。肝不全や静脈瘤 への治療が飛躍的に前進したこと、そしてC型肝炎にともなう肝がんが増加してきたことによります。
![]() 65歳、女性の肝左葉。大小のぶどうの房状の結節があり、 進行した肝硬変になっています |
3つの合併症についての診断と治療について簡単に解説します。
● 肝不全
肝臓は「人体の化学工場」とよくいわれます。食事でとった栄養分を加工し、身体の血や肉の原料をつくる、身体の中でいらなくなった老廃物や身体に害となるものを分解し排泄する、など重要な仕事をしています。
肝硬変になると、こうした働きが不十分となり、さまざまな症状が出てきます。
そしていよいよ機能が低下し、生命を維持することが困難になった状態が肝不全です。最初は、手が震えたり、意識がぼんやりする程度ですが、進行すると昏睡といって意識がなくなります。
昏睡の原因である血液中にたまったアンモニアや特殊なアミノ酸をおさえる薬やそこまで進行する前にあらわれる腹水やむくみなどを治療する利尿剤、低下し たたんぱく質を改善させる薬など、多くの薬を使って対処できるようになっています。
● 静脈瘤
肝硬変の方が、口から血をはいて亡くなったという話を昔よく聞かれたと思います。肝硬変になると肝臓が石のように硬くなります。その結果、肝臓へ向かっ て流れている血液が流れにくくなり、圧がたかまり、ついには血管が瘤(コブ)のようにはれてきます。これを静脈瘤といいます。さまざまな場所の静脈がはれ てきますが、重大なのは食道や胃の静脈です。この静脈瘤が裂けると大出血をきたします。
昔は、手術が唯一の治療でしたが、最近では内視鏡を使って出血を止める薬を血管に注入したり、輪ゴムで血管をしばる治療が開発され、めざましい効果を上げています。
破裂しそうな静脈瘤には、予防として行なわれるようになり、静脈瘤出血による死亡もずいぶん減ってきました。
● 肝がん
肝不全や静脈瘤出血による死亡が減少し、長生きできるようになってきたこともあり、肝がんへの対策がますます重要になっています。日本人の年間全死亡数約90万人のうち肝がんによる死亡数は3万人をこえています。
そのなかでC型肝炎の比率が年々上昇し、今では肝がんの約80%をC型肝炎が占めています。そのために前号でもいいましたように、肝がん撲滅のためにC型肝炎対策が重要視されているのです。
C型肝炎を中心とした慢性の肝臓病の方が、自分の病気を理解し、医療従事者と共同して肝がんの早期発見・早期治療に努めていくことが必要です。
早期発見のためには、腹部超音波検査、腹部CT検査、AFP・PIVKA?・AFPL3分画といった腫瘍マーカー(がん細胞をみつける血液検査)の検査 を定期的に行なうことです。腹部超音波検査のテンポは、慢性肝炎で6カ月に1回、肝硬変で3カ月に1回が一般的です。
また進行した慢性肝炎は、肝硬変と同様に、肝がんを合併する危険度が高いといわれます。指標として血小板数が14万以下の慢性肝炎の方も、3カ月に1回超音波検査を受けることがすすめられています。
肝がんの治療法には、大きくわけて手術療法、局所療法、肝動脈塞栓療法の3つがあります。がんの状態や肝臓全体の状態によって選択し、組み合わせて治療します。
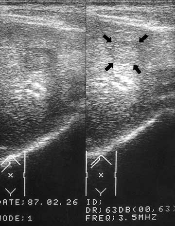
![]() 59歳、男性の腹部超音波検査。肝臓内に約2X3?の肝がんが |
手術療法は、肝機能が良好で安全に手術できる範囲にある肝がんには第一にすすめられます。うまく手術できれば、完治が期待されます。
しかし、肝硬変をともなっているため手術ができないことが多いのが現状です。
局所療法は、腹部超音波で肝臓の断面を見ながら細い針を「がん」のところまですすめ、エタノールを注入する方法が、小さながんに対してさかんに行なわれてきました。
がんの大きさなどによって何回もくり返す必要があることなどから、最近ではエタノールの注入ではなく、マイクロ波やラジオ波を針の先端から発生させ、がんを焼き殺す治療(局所温熱療法)が行なわれるようになりました。
治療回数が少なくてすむ、がんを確実に殺すことができるなどエタノール注入より効果が上がっており、今後、この治療法が主流になりそうです。
肝動脈塞栓療法は、足のつけ根やひじの動脈から細いチューブ(カテーテル)を挿入し、肝臓内の 動脈まですすめ、チューブを通して抗がん剤と血液の流れを止める物質を注入する治療です。20年くらい前から行なわれています。これも1回の治療で完全に がんを殺すことは困難で、くり返して治療する必要があります。
どの治療についても、定期的な検査によって早期(直径2cm未満)に肝がんを発見し、早期に治療することによって治療効果が上がります。しかし、くり返 して治療する必要があり、また一方では肝硬変そのものが肝がんのできやすい畑のようなものですから、別の場所にがんが再発することが避けられないのも事実 です。定期的な検査とさまざまな治療を継続しながら療養していくという決意が求められます。
◆ ◆ ◆ ◆
以上、肝硬変と肝がんについて紹介させていただきました。
最近、新聞やテレビで、非加熱製剤によるC型肝炎ウイルスの感染問題や医師であり患者でもある大阪のC型肝炎患者さんのドキュメントが報道されていまし た。一方、肝臓病患者会の運動の成果によって、今年度から自治体住民への基本健康審査の検査項目にC型肝炎ウイルス抗体検査が導入されます。
私たち、民医連に働く医療従事者として肝臓病を担当する医師がいるかいないかに関わらず、こうした肝がん撲滅に向けたさまざまな課題を、可能なところからでも積極的にとりくんでいくことを訴えて、筆をおきたいと思います。
いつでも元気 2002.5 No.127



