特集2 肺がんを治す 予防には、まず禁煙
![]() |
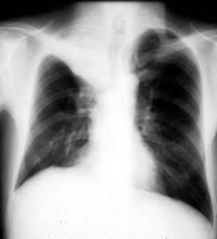
| 写真1 正常な人の胸部X線写真 |
![]() |
![]() |
| 気管支は23回枝分かれして肺胞に至る |
![]() |
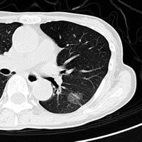
| 写真2 点線部が「すりガラス陰影」 |
進行性でもあきらめず相談を
欧米では肺がんの死亡者数の増加は、止まったか、すでに減少してきています。禁煙対策が進んでいるためです。しかし日本では98年にがんによる死亡原因の1位が肺がんとなり、今もなお増えています。がんで亡くなる人の、実に5人に1人が肺がんという計算になります。
また、肺がんと診断された患者のうち、助かるのは5人に1人もいません。私は呼吸器外科医として20年以上肺がん診療に携わっていますが、いまだに進行 がんで病院を訪れる患者が多いことに、心を痛めています。対策はないのか、考えてみたいと思います。
原因の8~9割はたばこ
肺がんは肺にできるがんです。発がんの原因には、たばこが8割~9割関係しています。その他アスベストなどの発がん物質、そして原因が明らかでないものもあります。
まず、肺の構造がどうなっているか、胸部X線写真(写真1)と模式図(上図)を見ながら説明しましょう。
肺には空気の通り道である気道(気管、気管支)があり、奥に入るとどんどん枝分かれして、最後はブドウの房状になった肺胞になります(下図)。肺胞は6 億個もあり、その面積は、広げるとテニスコート一面分にもなります。この広大な面積で酸素と二酸化炭素を交換するという、非常に大事な仕事をしています。
肺がんは、大きく2つのタイプに分けることができます。
一つは空気の通り道である太い気管や気管支の壁にできる肺がんです。初期から咳や痰が出たり、痰に血が混じったりして、ひどくなると肺炎を起こしたりし ます。扁平上皮がん(がん細胞が皮膚の細胞に似ている)や小細胞がん(がん細胞は小さいが、進行が早い)という型の肺がんが多く、ほとんどはたばこが原因 です。
もう一つは、肺の奥にある肺胞、あるいはその近くからできる肺がんで、たばこのほかアスベストなどの発がん物質や、原因不明のものもあります。このタイ プの肺がんでは、肺腺がんが最も多く見られ、最近増加しつつあります。
肺の奥から発生するため、初期ではほとんどが無症状です。進行すると胸痛、喀血、呼吸困難、声のかすれなどさまざまな症状が出てきます。そうして模式図 にあるリンパ節に転移し、全身に転移していきます。したがって症状が出てから受診した場合、すでに進行がんである確率が高くなります。
早期発見に有効なCT
よく患者さんから「毎年検診で胸部X腺写真を撮っていたのに、なぜ早く見つからなかったのか」と質問されます。なぜでしょうか?
肺がんの検診方法は一般的に胸部X線写真です。たばこを吸う人の場合は、痰も調べます。通常の胸部X線写真の撮り方は、フィルムを抱くようなポーズをと り、背中側からX線をあて、1枚のフィルムに焼き付ける方法です。空気の部分は黒く、骨や水分、血管、心臓などは白く写ります。
私たち医師は、X線写真を見るとき、影がないか必死になって探します。大きさが1円玉(2礼)以下であれば、早期がんの可能性が高いからです。ワイシャ ツのボタン(1礼)くらいの影もチェックします。
しかし平面写真のため、体の前から後にあるものまですべて重なって写るし、心臓や横隔膜、骨などに重なる部分は見えません。全体の4分の1は、がんが あっても見えないのです。X線写真は、簡単に撮れて広く普及している方法ですが、肺がんの早期発見には不十分です。
早期に発見するには、どうすればよいか。こういう問題意識からCTが注目されはじめ、93年から「東京から肺癌をなくす会」でCTによる肺がん検診が始まりました。
発見された肺がんのうち、従来の胸部X線写真と痰の検査による検診方法では、肺がんが発見されても2人に1人しか治りませんでした。しかしCT検診導入 後は、5人のうち4人も治ったというデータが出たのです。
CTとは、仰向けに寝た状態で、体を輪切りにした画像を数ミリ間隔でとり、体の断面をみる検査です。撮影時間も、1回息を止めるだけ。肺の端から端まで15秒ほどで終了します。
CTは断面を撮影するため、胸部X線と違って重なる部分がなく、肺のほとんどの部分を見ることができます。また肺がんの初期の淡い陰影(「すりガラス陰 影」といいます=写真2)でも写ります。これは胸部X線写真では写りません。
最近ではPET(ペット)という検査も登場しました。この検査ではまず、FDG(ブドウ糖によく似た微量の放射線を発する液)を注射した上で、画像診断 をおこないます。がん細胞は通常の細胞よりもブドウ糖を多く消費するため、がんに侵された部分にFDGが集まり、光って見えることを利用した検査です。
肺がんを疑う場合や、がんが転移していないかをみるのに役立ちます。保険はきくのですが、高額であることが欠点です。
私は症状がある人はもちろん、喫煙者や過去に喫煙していた人、肺がんが心配な方にはCTをすすめています。CTを撮るようになってから、写真3のような 早期肺がんが多く見つかるようになりました。
こうして、異常が見つかれば内視鏡で気管支をのぞく気管支鏡検査や、針で肺の組織の一部を採取して顕微鏡で見る肺生検へと進みます。そして肺がんかどうか診断します。
肺がんが見つかったら
肺がんが見つかったら、治療はどうするのでしょうか。
最も確実なのは、全身麻酔による手術で、がんに侵された部分を切除することです。しかし、あまり肺がんが進行すると取り除くのが難しくなり、手術ができ なくなります。手術できる割合は、今は10人中3~4人くらいです。残りは放射線あるいは抗がん剤による治療になります。
一般に肺がんの手術といえば、胸を切り開く開胸手術で、大きな傷跡が残り、大変痛みが強いイメージがあります。
しかし現在、技術の進歩により傷は小さくなりつつあり、痛みも大幅に緩和されています。胸腔鏡手術(VATS=バッツと呼びます)も盛んにおこなわれて います。傷が小さく、痛みが少ないのが特徴で、手が入らないくらいの傷ですみます。テレビモニターを見ながら胸腔鏡(胸の中をのぞくカメラ)を操作して手 術します。
私たちも積極的に取り入れていますが、肺がん手術は安全におこない、がんを根治することが最大の目的のため、VATSがよいのか開胸手術がよいのかは、 学会でも今だに結論が出ていません。
放射線治療は、高齢だったり、合併症があるなど、手術ができない場合に用いられることの多い治療法ですが、むしろ抗がん剤や手術との組み合わせで効果を あげています。
抗がん剤治療も副作用が軽くなり、近年では安全におこなえるようになってきました。通院で抗がん剤を使えるようになってきていて、患者さんにとっては朗 報でしょう。しかし、残念ながら抗がん剤は延命効果はありますが、抗がん剤だけで治癒するケースはほとんどありません。
そこで、これまでの抗がん剤とは異なる働き方をする抗がん剤「イレッサ」が登場しました。02年7月に日本で医療保険が適応になり、内服薬で手軽に使え るため、一気に使われるようになりました。しかし、副作用から死亡例が多数報告され、投与には慎重を要します。
今も、新たな治療薬の開発・研究がおこなわれています。
手術できれば半数は治る
![]() |
| 写真3 進行性肺がんだった患者(右肺上部が白く写っている) |
![]() |
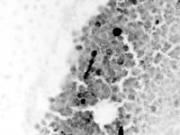
| 写真4 点線内がアスベスト小体 |
手術ができた患者は、半数以上が治っています。胸部X線写真で、大きさが1円玉くらいで見つかった場合、約8割の患者は手術で治ります。「すりガラス陰 影」で見つかれば、9割以上の人が治ります。早期発見ができれば、手術で治る確率は高まります。
また、不幸にして進行がんで見つかっても、あきらめずにまず医師に相談してください。50代男性で進行肺がんだった患者を紹介しましょう(写真3)。向 かって左上(右肺上部)ががんで、白くなっています。他院で「進行がんのため手術は無理です。放射線治療をおこないましょう」といわれ、私のところに相談 に来ました。気管にがんが広がりリンパ節にも転移していましたが、手術ができ、放射線治療をおこないました。20年以上経過した今も、元気で過ごされてい ます。
アスベストの相談増える
最近、アスベストによる肺がんが疑われる60代男性の患者が受診されました。
昨年、クボタによるアスベスト被害の報道があり、「自分もアスベスト関連の仕事をしていたので心配だ」と検査を希望。胸部CTをとったところ肺がんが見つかり、手術をしました。
切除した肺からは、アスベスト小体(写真4=鉄アレイの形に見えるのがアスベスト繊維。肺に入った後に固まったものです)が見つかり、現在労災を申請中 です。最近このような患者や家族の方からの問い合わせが多くなっています。
たばこで家族も肺がんに
肺がんを予防するには、長期的にみると、やはり、発がん物質であるたばこの対策はきわめて重要です。
03年度の調査では全国の喫煙率が男性48・3%、女性13・6%で減らず、ほぼ横ばいでした。しかし若年者では、逆に増加傾向にあります。肺がんの予 防はまず禁煙が第一です。たばこを吸っている方も今から禁煙することにより、肺がんになる確率を減らすことができます。
また、副流煙による受動喫煙の対策も重要です。たばこを吸わない人もたばこの煙を吸ってしまい、これが肺がんの原因になるからです。とくに家庭では喫煙 が自分だけではなく子どもなど家族にも影響することを胆に命じてください。
たばこを止められない人は、病院にぜひ相談してください。ニコチンを体内にとりこみながら、徐々に喫煙習慣から離れることをうながす貼り薬「ニコチン パッチ」も、6月から保険が適応されました。
自己判断せず、受診を
肺がんは何といっても早期診断、早期治療が重要です。喫煙歴のある人、肺がんを心配する人はぜひ肺CT検査をおすすめします。
アスベストはあまりにも有名になりましたが、発がん物質を扱った仕事をしている人や工場周辺に住んでいる人も、ぜひ検診を受けてください。米国での同時 多発テロ(02年9月11日)で倒壊したビル周辺の人たちは、今も厳重に検診を受けることを義務づけられています。建築物にアスベストがふくまれていたた めです。日本でも、仕事上や生活上、やむをえずアスベストを吸い込んでしまった人には、国が責任を持って対策をおこなうことが必要です。
最後に当たり前のことですが、咳や痰、血が混じった痰が出るなどの症状が続いたり、胸の痛みを感じた場合、自己判断をしないで病院を受診し、呼吸器の専 門医に相談することをおすすめします。
いつでも元気 2006.7 No.177






