カムカム健康法(13)~~歯周病の予防と治療のブラッシング講座~~3 歯槽骨が溶け出して… 青木良子(東京・相互歯科・歯科衛生士)
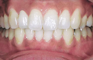
今回は、健康な歯肉と歯周病(歯槽膿漏)の歯肉の違いを見てみましょう。
鏡の前で唇をめくって歯肉を見てください。まず、色は? 歯肉の形は? 表は歯肉を観察してわかる歯周病の進行状況です。
自覚症状はさまざま
歯周病は、進行も自覚症状も人によってさまざまです。自覚症状はあまりないのに骨が溶けていたりする場合や、強い炎症で痛みが強くても、骨はしっかりしていたりする場合があります。
歯周病の進行は、歯を支えている骨の溶け具合で判定しますので、歯科でレントゲンを取ったり、検査をしたりして調べてもらってください。
体調や季節の変わりめに要注意
歯周病の治療をするうえで警戒が必要なのは「急性症状」です。
激しい痛みを伴うものもありますが、「口の中や歯肉の一部分に痛みや腫れた感じ・違和感を感じる」という のも要注意です。こんな症状のときは一気に歯を支えている歯槽骨が溶け出していることが多いのです。このような症状を繰り返して歯周病(歯槽膿漏)は進行 していきます。
「体調が優れない」「かぜ気味かな?」「寝不足」「仕事が忙しい」というときや、季節の変わりめなどに歯周病菌が活発になり急性発作を起こしてしまうのです。
こんな急性症状のときのブラッシングついては、次回からお話ししていきます。
![]() |
![]() |
いつでも元気 2006.10 No.180


