特集2 膝関節の痛み 痛みのサイクルを絶つ
ときには家族に助け求めよう
![]() |
| 菅 政和 長崎・上戸町病院 整形外科 |
前回(07年5月号「けんこう教室」)で変形性膝関節症についてお話ししました。この病気は“膝の痛み”の原因でもっとも多いものですが、膝が痛む原因は他にもあるのです。
なぜ“膝の痛み”は起きやすいのでしょうか。膝関節は、骨(大腿骨・脛骨・膝蓋骨・腓骨)と、靱帯、半月板、関節軟骨、関節液などからできています(図1)。
膝関節は足首や股の関節と比べて弱く、寒冷やケガなどの影響を受けやすい特徴があります。「歩く」動作は日常生活で頻繁におこなわれるため、膝はより痛みやすいといえます。
一方、体重はもちろん、体の動きによって増加する荷重も無視できません。立っている時に膝にかかる体重が1なら、平地を歩く時は約2倍、階段で3~5倍もの重さがかかるといわれています。
主な膝関節痛の原因は、(1)ケガ、(2)変形性膝関節症、(3)各種の急性関節炎などです。このほか、脳卒中などで片脚が麻痺してリハビリ中の人が、健康な側の膝に痛みを起こすこともあります。
| 図1 膝関節の仕組み |
![]() |
膝の痛みが起こるしくみ
膝関節痛の事例を紹介しましょう。
ケガによるもの
高齢で、両脚の筋力が低下した患者さん。自宅でバタンと倒れて膝を痛めました。しだいに膝関節が腫れてきて、曲げ伸ばしが思うようにいかなくなり、当院を受診しました。
このような膝関節の病気(膝関節症)を診断・治療するには、関節穿刺(関節に麻酔をして針を刺す)をおこなって膝の関節液を抜き出して調べて、痛みの原因を特定します。
このほか、レントゲン写真撮影(X線)やMRI(電磁波を使った膝の断面撮影)などの画像検査もおこないます。
その後の診断・治療・リハビリテーションは図2をご参照ください。
| 図2 膝の痛みの診断と治療 |
![]() |
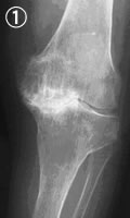
変形性膝関節症
変形性膝関節症とは加齢や筋力低下、肥満などで膝に負担がかかり、関節軟骨がすり減って関節の変形がすすむ病気です。
69歳、女性。06年3月、他の医療機関を受診し、両膝に変形性膝関節症が認められました。X線でとくに左膝が変形し、ぐらぐらした状態になっているこ とがわかりました。MRIやCT検査(X線による断面撮影)も実施したところ、関節軟骨がすり減って半月板もひどく痛んでいたため、保存的治療(手術をし ない治療法)を始めました。
07年2月、左膝関節かんとん(膝に何かがはさまって屈伸できなくなる)が現れ、私の外来を受診。それ以後3年間、通院し続けています。
3年の間にも、3度関節症が悪化しました。手術療法も計画しましたが断念。炎症を軽くするためにヒアルロン酸を関節内に注射し、保存的治療を徹底しました。
変形性膝関節症を悪化させる要素を様々な角度から検討しました。筋力低下を予防するため運動療法を実施。膝関節の装具(サポーター)も着用。身長152センチに対し、体重が68・0キロあり、減量の目標も設定。
一時的に介護保険制度を使ってヘルパーの支援を導入し、自宅で大腿四頭筋訓練をおこないました。その後、パワーリハビリ(注)を実施。
生活環境も好ましくありませんでした。家族8人分の食事を1日おきに作ったり、100段の階段をのぼりおりする毎日。坂を登るのがつらいため、回り道も していました。様々な“ストレス”が変形性膝関節症を悪化・進行させた事例でした。
結局、家族に支援を求め、さらなる減量と運動療法を継続。最近は悪化することが減り、笑顔も見られるようになりました。
(注)病院・高齢者施設向けの筋力向上機器を使ったトレーニング。
高齢者でも大腿四頭筋の筋力を少しずつアップできる。
急性関節炎
急性関節炎の原因は様々です。
![]() |
| 白いところが石灰化した部分 |
■偽痛風 87歳、男性。全身性骨関節症を合併していました。大工仕事を無理な姿勢でおこない、3日後に両膝が痛み、膝関節が熱をもっていたため、救急入院となりました。
![]() |
| 白い矢印の先がピロリン酸カルシウムの結晶 |
血液検査では、炎症を示すCRPの値が6+に(正常値0)。X線では、両膝の関節軟骨、半月板、腱などが石灰化し、硬くなっていることがわかりました(写真1)。関節穿刺で関節液を調べたところ、偽痛風の特徴である、ピロリン酸カルシウムの結晶が認められました(写真2)。偽痛風は痛風と同じような症状を起こしますが、尿酸値は正常範囲内です。
安静を保つため、ギプスで両膝を固定し、消炎鎮痛剤を使ったところ症状が改善しました。
| 図3 パテラセッティング |
![]() |
| 脚を伸ばして座り、丸めたタオルや毛布を膝の下に。膝の裏でタオルや毛布を押しつぶすように力を入れ、かかとが上がるようにし、5秒間保つ。1日20回がおすすめ。 |
| 図4 入浴中の可動域訓練 |
![]() |
| 入浴時、温まったところで、一度だけ膝関節を曲げる(座った姿勢でもよい) |
■変形性膝関節症がない膝関節水腫
高齢で大腿四頭筋、母趾背屈筋の筋力が低下。転倒など、これといった原因がないのに、片膝に歩けなくなるような関節痛が出現し、受診しました。関節液が膝にたまり、腫れていました(水腫)。
膝関節の動きが制限されていますが、X線上、大きな変化はありませんでした。変形性膝関節症の前段階の可能性も考え、膝の装具着用、弱くなった大腿四頭筋訓練、トイレの洋式化など環境整備をアドバイスしました。
関節炎がひどい場合は、関節に麻酔薬と副腎皮質ホルモンを注入する関節内ブロック注射もおこないますが、多くの場合、パテラセッティング(膝関節の等尺運動=図3)、入浴中の可動域訓練(関節の動きが悪くなった状態を改善する訓練=図4)で改善します。
■骨折をともなわない血腫 ケガをして、膝関節が腫れた患者さ ん。関節穿刺で確認したところ、関節液中に血液が混ざっていました。X線上では骨折などはありませんでした。MRI・CT検査でも、靱帯の損傷などもな く、消炎鎮痛剤とパテラセッティング、入浴中の可動域訓練で症状が軽減。その後、大腿四頭筋の訓練を自宅でも外来でもおこない(写真3)、よくなりました。
![]() |
| 大腿四頭筋訓練(いすに座り、5秒間で1回、脚を持ち上げる。1日20回。0.75Kgをマジックテープ付きのベルトで固定) |
まれな例
![]() |
| 白い矢印の先がピロリン酸カルシウムの結晶 |
(1)痛風性膝関節炎 32歳、男性。肥満(180センチ、107・3キロ)の青年サラリーマン。右膝が赤く腫れ上がり、歩行困難。曲げるのもつらそう。
患者さん 「右の膝が痛うしてたまらん。何とかしてくれー」(大きな体の大人が悲鳴)
私 「膝に大量の水がたまっています。レントゲン撮影をした後、針を刺して関節液を抜いて検査しなければ。抜くと痛みはぐっと和らぎますが」
患者さん 「痛かやろ、怖い、抜かんでよか」
問答の後、「私、上手ですから」といって、関節穿刺を了解してもらい、60mlの黄色く混濁した関節液を吸引。聞けば、ビールが大好きとか。
私 「最近、“痛風の気”があるといわれませんでした?」
患者さん 「いわれとった」
X線では、半月板の石灰化はなし。後日、関節液を詳しく調べると痛風特有の針条結晶(写真4)が。患者さんに見せると…。
患者さん 「うひゃー」
麻酔薬と副腎皮質ホルモン剤を膝関節に注入。血液検査で高尿酸血症を確認後、栄養指導、運動療法、薬物療法などを実施。現在も経過観察中ですが、この 間、2回再発。幸い関節穿刺のみで軽快していますが、多忙でなかなか外来に来られません。
(2)化膿性膝関節炎 69歳、男性。09年10月、とくに原因もないのに左膝に痛みが。翌日S病院を受診し、「偽痛風」との診断でした。関節穿刺と関節内ブロック注射を受けた後、当院に紹介されました。
関節が異常に腫れていたので穿刺し、S病院と同様の関節液(黄白色、混濁)を吸引。しかし、X線上石灰化はなく、ブロック注射でも症状が軽くなりません。S病院と経過が違うため入院して精査することに。
MRI検査では、脛骨骨髄炎が認められました。関節液からは「ブドウ球菌」が発見され、化膿性膝関節炎と診断。骨髄がブドウ球菌により化膿していたのです。その後手術し、外来通院となりました。
当初の診断は「偽痛風」でしたが、関節液が混濁している場合、関節液の細菌培養検査をおこなうなど、化膿性膝関節炎も念頭に置いた対応が必要だとの教訓を残した事例でした。
治療上のポイント
これまで述べたように、膝関節痛は正確な診断と適切な治療が必要です。慢性的な膝関節痛の場合、定期的に外来を受診し、治療を継続することが大事です。年1回、X線、血液検査、尿検査も受けましょう。
病状が落ちつかない場合は“家族会議”を召集することもあります。ご家族も病状を理解し、患者さんを応援してもらうためです。
膝関節痛が悪化する原因と対策も明らかにし、対処できるようにします。たとえば次のようなことです。
(1)気圧低下、雨降り前は痛むことが多いため、注意。消炎鎮痛剤の使用も考慮します。
(2)体重増加に注意。重たい荷物も避けます(買い物ではカート使用)。
(3)階段もできるだけ避けます(特に長崎は階段が急でたいへんです)。
(4)住環境の改善。ベッドを購入(またはレンタル)し、起きあがるときの膝の負担を軽減します。トイレは洋式にします(和式トイレを使う限り、膝関節痛は治りません)。
(5)地域の大清掃など、地域活動を制限します(町内会の責任者に堂々とお話しを。要請により医師の出番も)。
(6)あらかじめ、痛みに耐えられない場合の方針を決めます(入院、保存的治療の徹底、手術療法、介護保険制度の活用、自立支援法による支援・環境整備・住宅改修など)。
(7)足にあっていない靴、ハイヒールなどの使用もやめます。
また、治療では「痛みのサイクル」を絶つことが大事です。膝が痛むと動きたくなくなるため、大腿四頭筋の萎縮、筋力低下を引き起こします。膝関節を支えて いる一連の筋肉が弱まって、膝関節の筋肉・靱帯・腱がゆるみます。こうなると、痛みが強まる→活動量が低下→膝関節のゆるみが進行→痛みが強まる、という 痛みのサイクルにはまりこみます。このサイクルを絶つため、リハビリテーションをおこないます。先述のパテラセッティングや入浴中の可動域訓練などがおす すめです。
通院治療が軌道に乗れば、自宅でも大腿四頭筋の訓練ができます。
日常生活上の注意、予防法は
最後に生活上の注意、膝関節痛の予防法をお話しします。
(1)スポーツやウオーキング前の全身ストレッチは必須。また、膝関節周辺の筋肉を使いすぎると筋肉や腱のバランスを崩し、痛みの原因に。
(2)スポーツは年齢に応じた限界を知り、準備体操をしっかり。「昔取った杵柄」はむしろ害悪です。
(3)冠婚葬祭の正座と過剰な「立ち居振る舞い」に注意を。「まかない手」のときに厳粛な雰囲気に呑まれて無理し、失敗することがあります。
(4)体重が重い人は減量。身長・体重から減量の目標を設定し、まず、1カ月あたり0・5キロ、最終的な目標の2分の1を目指しましょう。
減量期間は5年をかけて。短期間での挑戦はあきらめてください。肥満防止のため、3食ゆっくり食べましょう(1食20分以上かける)。間食・甘い物もできるだけ避けます。
(5)以上述べたこと以外にも、日常生活上の膝に対するあらゆるストレスを挙げ、その軽減のために医師や家族と相談し、作戦を練りましょう。
いつでも元気 2010.7 No.225









