特集2 『歯科酷書─第2弾─』発表 口の中から見える格差と貧困 安心して医療受けられる制度の実現を
![]() |
| 城 世津子 大阪・耳原歯科診療所事務長 (全日本民医連歯科部員) |
みなさんは「歯医者にかかる」というと、「怖い」「痛いことをされるのでは?」と感じるのではないでしょうか。また、「歯科は治療費が高い」と思われる方もいらっしゃるでしょう。多くの方がそのような印象を持つ歯科は、いまだに敷居が高い存在なのかも知れません。
全日本民医連歯科部では、経済的事情から受診できずに「口腔崩壊」に至った事例をまとめ、歯科酷書として二〇〇九年一一月に発表、本誌の二〇一〇年二月号で紹介したところ、多くの読者から反響が寄せられました。
しかし、その後もこうした事例は後を絶ちません。
私自身も日常の診療のなかで、初診時から費用のことを気にかけて「一番安い治療だけにして」と希望される事例や、治療途中で受診を中断される事例などに よく出会います。「格差と貧困」が拡大している事を実感しています。歯科を受診していない方がたを含めると、どれほど多くの患者さんが潜在しているのか、 わかりません。
経済的困窮・労働環境が背景に
全日本民医連歯科部は今年六月、『歯科酷書-第2弾-』を発表しました。無料低額診療事業を実施している歯科事業所から寄せられた報告のうち、二八事例を「格差と貧困が生み出した口腔崩壊」としてまとめたものです。
無料低額診療事業(以下、無低診)とは、社会福祉法第2条第3項および法人税法施行規則6条4項に基づき、経済的理由で窓口負担が払えないために医療を 受けられない人々に対して、患者負担が無料または低額で診療をおこなう制度のことです。行政の認可を受けた事業所でのみ実施できます。
二〇一二年四月現在、民医連では二八四事業所が無低診を実施しており、そのうち歯科は二九事業所です。
今回の『歯科酷書』にまとめた二八事例は、いずれも受診できなかった背景に「経済的困窮」「無保険」「厳しい労働環境」などのさまざまな要因があり、 「早期に受診できていれば、こんなにひどくならずにすんだ」と思われるものばかりです。
事例から
![]() |
| 全日本民医連歯科部が発表した『歯科酷書―第2弾―』 |
『歯科酷書―第2弾―』のなかから事例を紹介します。
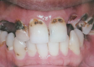
〈長時間労働の青年〉
二〇代の男性(下写真)。一六歳から居酒屋でアルバイトを して、高校に通わなくなり中退。その後はアルバイトに専念。夜働き昼間寝る生活で、歯も磨かず、虫歯で歯が欠けていても気にならなかったが、徐々に口の中 の状態が悪化し、歯の痛みを我慢するようになった。昼夜逆転のアルバイト生活のため、歯科を受診する時間がなかった。
アルバイトを辞めて定職に就いたものの、朝から夜間までの長時間労働のため受診できなかった。喫煙、金銭的問題もあるが、過酷な労働環境にあったことが、口腔内崩壊がすすんだ大きな原因と考えられる。
〈病気が理由で無収入に〉
賃貸マンションに一人暮らしをしている四〇代男性。警備員(契約社員)として働いていたが、健康診断で腎臓結石と大腸ポリープが見つかり入院・手術。病気 を理由に契約を打ち切られ、その後、無収入に。貯金はなく、失業給付八万三〇〇〇円と知人からの援助で生活している。
現在の収入では衣食住を満たせず、医療費にまで手が回らなかったため放置せざるを得なかった。
〈歩行困難となり失業〉
六〇代男性。長年トラック運転手として生計をたてていたが、四年前に下肢のしびれで就労困難になった。失業給付と内職で生活していたが、生活が維持できなくなり、息子と世帯を一つにした。
糖尿病の診断も受けて治療を開始したものの、経済的理由で受診できなくなった。持病のヘルニアも悪化し、歩行困難に。厳しい生活状態で、息子にも相談できず役所に相談したところ、民医連の歯科を紹介されて受診した。
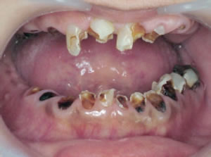
〈就職活動に支障〉
一人暮らしのハーフの五〇代女性(左写真)。別世帯で生活保護を受けている親から、少額の小遣いをもらって生活していた。会話は可能だが、読み書きにハンディがある。口の中の状態が悪いため、面接を受けてもなかなか採用されず、就職できないが「自立した生活をしたいので、分割払いで治療を頼みたい」と受診した。
患者との面談から見えること
無低診を適用するには、「収入が生活保護基準の一・二倍以下なら無料」など、事業所で定めた適用基準があるため、患者さんとの面談をおこないます。
私も面談に入りますが、じっくりと患者さんの話を聞くと、普段の診療だけでは見えなかった困難が見えてきます。高すぎる国保料が支払えず、短期保険証、 資格証明書、あるいはそもそも保険に加入していない無保険の方も数多くみられます。
面談した方のなかで、「一日におかゆ一食で生活している」と話される方がいました。
この方はエンジニアをしていた六〇代男性です。過去には一定の収入があり、歯科治療もきちんとおこなっていたことが、当歯科で撮影したレントゲン写真か らうかがえます。しかし、厳しい不況から仕事を打ち切られ、収入が途絶えたことをきっかけに、生活が困窮。国保料を滞納したため督促が徐々に激しくなり、 ついには預金通帳の残金全額を市が差し押さえたのです。
面談でこの方は「私は数年前まで一生懸命働いて、保険料も税金もきちんと納めてきました。それなのに本当に困ったときに行政は助けてくれなかった。何も信じられなくなりました」と辛そうに話されました。
口の健康が二極化
厚労省や日本歯科医師会は八〇歳で二〇本の歯を残す8020運動にとりくんでいます。達成率は四割近くに向上し、また子どものむし歯も減少していますが、一部の方にこれほどまでの重症な事例が集中しています。つまり、国民の口腔内の状況が二極化しているのです。
口腔崩壊している方の多くは、社会的に孤立しており、経済的な理由で歯科を受診できないまま放置してきたケースばかりです。
「痛みがひどく、我慢の限界を超えた」「ほとんどの歯がなくなって、ものが噛めなくなった」「前歯がなくて見栄えが悪く、就職や人とのコミュニケーショ ンに差し障る」などの理由で、歯科医院の扉をはじめて叩くわけですが、「なぜこんな状態になるまで放置してきたのか?」と感じずにはいられません。非正規 雇用の拡大で「お金がなければ医者にかかれない」という事態にさらに拍車をかけています。
経済弱者は健康弱者
歯科で無低診の適用となった方の多くは、その他にも病気を抱え、治療を必要とされていました。 経済弱者であると同時に、健康弱者でもあるのです。そして、歯科の治療自体は無低診で一定の治療を終えることはできても、内科的な慢性疾患がある場合、経 済的な理由から必要な治療を継続できないケースが少なくないのです。
具体的には、病気を機に職を失い収入が途絶えたことが原因で受診を中断していたり、病院の受診回数を減らしたりしている事例があります。心臓疾患や糖尿 病などの持病があり、毎日の服薬が必要なのに、投薬は無低診が認められない調剤薬局となります。そのため、「毎日の薬を間引いて少しでも薬代負担を減らし ている」と話される患者さんもいました。医療機関と薬局を分離する「医薬分業」は、国が促進してきたものです。にもかかわらず、無低診制度から調剤薬局が 除外されているために、このような矛盾が起こっているのです。
高知県高知市では、無低診をおこなっている潮江診療所が、経済的に困窮している患者さんの厳しい実態を行政に報告し、医療と貧困の実態を発信しつづけま した。その結果、「生活保護などの別の制度につなぐまでの二週間」との期限付きではありますが、薬代も助成の対象となりました。これは全国で初めてのこと です。このような措置が全国に広がるよう、行政に働きかけていく必要も感じています。
口腔崩壊は社会的な問題
全日本民医連歯科部は、口腔崩壊の実態を目の当たりにするなかで、医療機関だけでは解決できな い社会的な問題であるとの思いを強くしています。多くの皆さんと手を携えて、社会保障などのセーフティーネットの拡充、国保料、医療費の窓口負担金の引き 下げなど、国や行政の責任ですべての国民が安心して医療を受けることができる制度の実現を求めて、運動を広げたいと思います。
いつでも元気 2012.9 No.251




