特集2 心筋梗塞 働きざかりのあなたも要注意!
胸の痛みを感じたら、すぐに受診を
![]() |
| 車谷 容子 山梨・甲府共立病院 (循環器内科) |
「心筋梗塞」って、知っていますか? みなさんも一度はこの病名を耳にしたことがあると思います。「心筋」は心臓の筋肉のことで、「梗塞」とは血管がつまって栄養が行き届かなくなり、細胞が壊死してしまうことです。
ご存じの通り、心臓は全身に血液を送るポンプの役割を果たしています。心臓が動く回数は、なんと1日約10万回! 途中で疲れて休んでしまっては大変で すから、心臓が送り出した血液の約5%は心臓を出てすぐ分岐する冠動脈に流れ込み、心臓自身に酸素や栄養を届けています。
この冠動脈がつまって心臓の筋肉の一部が壊死してしまう病気が、心筋梗塞です(図1)。
| 図1 心筋梗塞とは 冠動脈がつまって心臓の筋肉の一部が壊死してしまう病気 |
![]() |
症状
心筋梗塞を起こすと、多くの場合は激しい胸の痛みを感じます。「焼けるような感じ」「圧迫され る感じ」などと表現する人もいますし、胸ではなく背中やみぞおち、肩やのど、歯などに痛みを感じる人もいるので要注意です。冷汗や吐き気、めまいや失神な どをともなうこともよくあります。また、特に糖尿病の方や高齢の方では、ほとんど症状がなく、「知らないうちに心筋梗塞を起こしていた」ということもあり ます。
原因
冠動脈がつまる原因のほとんどは、動脈硬化です。動脈硬化とは、動脈の壁にコレステロールなど を含んだゴミがたまり、血管の内腔が狭くなった状態です。高コレステロール血症のほか、高血圧、糖尿病、喫煙、高尿酸血症、肥満、神経質な性格、ストレス などが動脈硬化を招く危険因子と言われています。持っている危険因子の数が増えれば増えるほど、動脈硬化を起こす危険度はどんどん高くなります。健康診断 で「メタボリックシンドローム」と言われている人は、特に注意が必要です。
動脈硬化以外で考えられる原因としては、川崎病(全身の血管に炎症が起こる病気)などの炎症によって起こる動脈瘤、心房細動という不整脈によって心臓の 中にできた血栓が飛んで冠動脈につまる塞栓症、そして冠れん縮(冠動脈のけいれん)などがあります。
最近、40代の女優さんが「軽い心筋梗塞」を起こして入院した、と報道されました。閉経前の女性は、女性ホルモンのはたらきにより動脈硬化を起こしにく いですし、この女優さんは健康管理もしっかりされていたそうですから、おそらく心筋梗塞の原因は動脈硬化ではなく、冠れん縮と考えられます。
冠れん縮とは、冠動脈がけいれんして収縮し、一時的につまってしまうものです。原因は完全には解明されていませんが、喫煙や飲酒、ストレスによって起こ りやすくなると言われています。体を動かしたときではなく、夜間~早朝の安静時や睡眠時に発作が起きやすいのも特徴です。通常、発作は一時的ですが、長引 けば動脈硬化と同じように心筋梗塞に至ってしまいます。
治療法
動脈硬化による心筋梗塞で、発症後12時間以内であれば、緊急PCIの適応です。発症後12時間以上経っていても、胸痛が続いていたり、血圧や脈が不安定だったりする場合は、やはり緊急PCIの適応となります。
カテーテルを使って冠動脈にガイドワイヤーと呼ばれる特殊な針金を挿入し、病変部の血栓を吸引した上で、バルーン(風船)で拡げて、ステント(金属製の網の管)を入れるという方法が一般的です(図2)。
ただし、ステントを入れると病変部はきれいに拡がるのですが、数カ月経つとステントの中がまた狭くなってくることがあり(ステント内再狭窄)、長年の課 題でした。そのため、最近では、ステントの表面に再狭窄を予防する薬剤をコーティングした「薬剤溶出性ステント」が主流となり、緊急PCIでも使われるよ うになってきています。
このほかに、発症後12時間以上経っていて、症状がなく状態が安定している場合は、血栓を溶かす薬や冠動脈を拡げる薬を数日間点滴してからPCIをおこ なう場合もあります。また、病変の部位や数、形態などにより、PCIではうまく治療できそうにない場合は、病変部の前後を血管でつなぐ冠動脈バイパス手術 の適応となります。前述の冠れん縮による心筋梗塞の場合は、点滴や内服薬による治療が中心となります。
PCIやバイパス手術といった血管治療に加え、薬物治療も重要です。いわゆる「血液サラサラの薬」である抗血小板薬、血管拡張薬、抗狭心症薬、コレステ ロールを下げる薬などが基本で、それ以外に高血圧があれば血圧を下げる薬、糖尿病があれば血糖を下げる薬なども使われます。どうしても内服薬の数が多くな りますが、どれもとても大切な薬です。特に抗血小板薬は、中止してしまうと、入れたステントが急につまってしまうことがあるので、毎日欠かさず内服するこ とが必要です。
| 図2 PCIとは |
![]() |
予防法
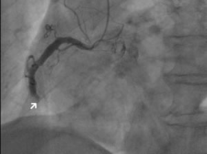
| PCI治療前と治療後 ■治療前 冠動脈造影検査で冠動脈がつまっている部分が確認できる |
![]() |
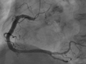
| ■治療後 PCI後。冠動脈の血流が回復している |
![]() |
心筋梗塞の予防の基本は、動脈硬化の危険因子を減らすことです。塩分や糖分、脂肪分を控えた食事をとり、適度の運動をおこない、体重を適切にコントロールしましょう。
もちろん喫煙はやめ、ストレス解消に努めましょう。毎日の生活の積み重ねが大切です。危険因子となる病気を持っていれば、内服薬によって積極的に治療することも必要です。
最近、若年男性の心筋梗塞発症が増えている印象があります。個人的な意見ですが、独身にせよ単身赴任にせよ、「ひとり暮らしの男性」というのは、大きな 危険因子だと感じています。働き盛りの「大黒柱」が突然倒れるという惨事にならないよう、日頃から生活を整え、定期的に健康診断を受けて、危険因子の除 去・低減に努めましょう。
そしてもう1つ、大切な予防法があります。それは、心筋梗塞に至る一歩手前、「狭心症」の段階で発見し治療するということです。狭心症とは、冠動脈が狭 まっている状態です。「体を動かすと胸が痛くなるが、休んでいると治まる」という症状に心当たりがある方は、必ず近日中に内科を受診するようにしてくださ い。
合併症・予後
心筋梗塞は、発症直後が最も危険です。病院にたどり着く前に亡くなってしまう方もたくさんいます。原因不明の突然死も、多くの場合、心筋梗塞が死因と推測されています。
最も多い合併症は不整脈です。軽いものから生命に関わる重大なものまで、さまざまな不整脈が出ることがあります。心室細動や心室頻拍といった致死的な不整脈が出た場合は、直ちに電気ショックによる治療が必要です。
最近、学校やスーパーなど、人が集まるところにはAEDが設置されるようになりました。AEDとは、「自動体外式除細動器」のことです。突然意識を失っ て倒れた人に装着すると、機械が心電図をチェックして、必要があれば電気ショックをかけるよう音声で指示してくれます。まさに、心筋梗塞で致死的な不整脈 が出た場合に、効果を発揮する機械です。使い方を知っていれば誰でも使えます。ぜひ心肺蘇生法の講習会などに参加して、いざというときにAEDを使えるよ うに、心の準備をしておいていただけたらと思います。
不整脈以外の合併症としては、心臓の動きが悪くなって必要なポンプのはたらきができなくなる心不全や、心臓の周りに水がたまってくる心膜炎、壊死した心 筋が破れて起こる心破裂・心室中隔穿孔(左右の心室の間にある壁に穴があく)・乳頭筋断裂(弁の開閉をおこなう筋肉が断裂する)などがあります。これらの 合併症も突然起こるものなので、当院では発症の危険度が高い心筋梗塞後約2週間は入院を継続してもらい、経過を見ています。
急性期を乗り越え、安定してくると、心臓リハビリテーションをおこないます。リハビリには、動脈硬化の進行・再発予防、危険因子の是正、予後の改善と いった効果があります。心肺運動負荷試験をおこなって一人ひとりにあった運動強度を調べ、それに基づいて、自転車こぎなどの有酸素運動(酸素をエネルギー として体脂肪を燃やす運動)をおこないます。1日20~40分、週3回以上の有酸素運動が効果的と言われていて、退院後も継続できると理想的です。
なお動脈硬化は冠動脈に限らず、脳や腎臓、下肢など全身の動脈にも同時に起こってきます(図3)。心筋梗塞を起こしてしまった場合は、ほかの動脈にも病変がないか調べ、閉塞する前に治療するのがベストです。
| 図3 動脈硬化が起こりやすい部位とひき起こされる病気 |
![]() |
おわりに
心筋梗塞について、理解を深めていただけましたでしょうか。
心筋梗塞は、発症してから時間が経てば経つほど壊死する細胞が増え、心筋のダメージが大きくなります。初期対応が非常に大切ですので、激しい胸の痛みを 感じたときは、がまんしたり様子をみたりしないで、すぐに救急車で病院に行きましょう。
イラスト・井上ひいろ
いつでも元気 2013.8 No.262






