民医連歯科の告発
『歯科酷書―第3弾―』
文・写真 宮武真希(編集部)

「歯医者はお金もかかるし、今は忙しくて時間もとれない。
もっと痛くなってから受診しよう」――。
受診を我慢しているうちに口の中の状態をますます悪化させてしまう患者さんを、民医連の歯科事業所では日々、目の当たりにしています。
全日本民医連歯科部はこのほど『歯科酷書』を発表。
経済的な困難にとどまらず、社会的な困難が歯科を受診しにくくしている実情を告発しています。
「無低」「子どもの貧困」「中断」を切り口に
今回の『歯科酷書』は2009年、2012年の発表に続く第3弾です。全日本民医連歯科部が民医連に加盟する120の歯科診療所に呼びかけ、「無料低額診療」「子どもの貧困」「治療中断」の3つのテーマで事例を集めました。
全国から寄せられたのは71事例。「これまでなぜ受診できなかったのか」「治療を続けられない理由は」…。報告された事例から、さまざまな社会的困難が浮かび上がりました。
寄せられた71事例から
■無料低額診療
60代の女性は、兄と2人暮らし。38年にわたって母親を介護していた。介護のために就労できず、母親の年金と貯金、兄のアルバイト代で生活。母親が亡くなり、就労するにあたって歯が気になるものの、お金がなかった。
虫歯と歯周病が進んでおり、下の奥歯を喪失していたため、噛むところがなく食べることが困難になっていた。
新聞で無料低額診療を知って受診し、義歯をつくることができた。
無料低額診療の事例から
「介護による就労困難」
「経済的困窮」
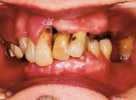
60代女性。虫歯と歯周病の進行があり、前歯が突出している。
左上の奥歯は歯の崩壊があり下の奥歯は喪失していることから、噛むところがなく食べることが困難になっていた。


■子どもの貧困
ある女子高校生は、母親と兄弟4人で暮らしている。学校では夜まで部活動をして、帰宅後は弟妹の食事の世話など家事を担っていたため、受診する時間がなかった。
幼少期から歯磨きの習慣がなかったために、受診したときには、歯垢や歯石が付着して歯肉炎も発症していた。
28歯のうち、17歯が虫歯、上の前歯は大きな虫歯になっていた。
子どもの貧困の事例から
「ひとり親」
「部活や家族の世話」
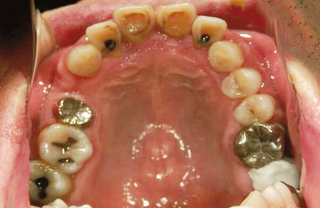
女子高校生。28歯のうち虫歯が17歯。神経に達している虫歯も多数あり。
歯垢、歯石の付着が著しく、全体に歯肉炎を起こしていた。

■治療中断
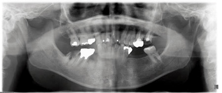
40代の男性。トラックの運転手をしていたが、受診時は失業中。脳梗塞、狭心症の既往歴がある。透析治療を受けている妻と子ども2人、認知症の母親、実姉と同居している。口の中は治療途中の歯や、歯を喪失してそのまま放置されている状態。治療したい意欲はあるものの、仕事や家庭の事情で、治療中断を繰り返している。
治療中断の事例から
「本人と家族の病気」
「不安定な就労」
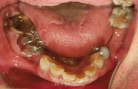
40代男性。右上と左下の歯が喪失して、そのままになっている。
左上と右下の歯は治療途中で崩壊しており、このまま治療中断を繰り返せば歯を喪失することが予想される。



誰もが抱える社会格差=生きづらさ
「経済的な困難だけが理由ではなく、何らかの生きづらさを抱えているために受診できない人が全国にいることが、寄せられた事例から見えてきました」と話すのは、全日本民医連歯科部の榊原啓太医師(山梨・巨摩共立歯科診療所所長)です。今回の事例をSDH(健康の社会的決定要因)の項目で分析した結果、経済的困難だけにおさまらない「社会格差」にあてはまる事例が最も多かったと言います。
榊原医師も、急な仕事で予約時間に来られなくなる患者さんや、仕事が夜遅くまでかかるため受付時間内に間に合わず受診できない、親が仕事で多忙のため子どもを受診させられず口の中の状態を悪化させてしまうなど、さまざまな事例を経験しています。
「治療中断は、年齢を問わず起こります。それは必ずしも経済的な理由だけではありません。仕事に就いて給料をもらって普通に生活しているように見える人でも、仕事や家庭状況など社会的困難のために受診できなくなり、口腔内の崩壊を起こしてしまうことは、ごく普通に起こる」と話します。
あらゆることに「自己責任」が問われるムードが今の時代にはありますが、はたして、受診できないために口腔内を悪化させてしまうことは自己責任なのでしょうか? 榊原医師は言います。「事例を分析すると、『受診できない原因は格差があるからではないか』と見えてきました。“格差”と言うと『私は生活保護を受けていないから関係ない』と思う人もいるでしょう。しかし、格差には段階があって、誰もが生活する中でなにかしらの問題を抱えている。そういう実態があることを、今回の酷書では告発しています」。
誰もが安心して受けられる歯科医療に
榊原医師は2017年3月、全日本民医連が実施した第6回キューバ視察に岩下明夫医師(全日本民医連歯科部長)とともに参加。国民一人ひとりに歯科医療が行き届いている実態を学び、「キューバの歯科医療こそが日本の歯科医療の目標になる」と感じました。
なかでも衝撃を受けたのが、障害者の口の中です。「日本では『困難な患者さん』と置き去りにされがちな方々の口腔内が、ほとんど治療の痕もなくて非常にきれいだった。日本はキューバに比べて国の経済力は豊かなのに、国民は歯科医療を十分享受できていないことを痛感した」と言います。
全日本民医連歯科部は、昨年4月から、「いつでも、どこでも、だれもが、お金の心配をせず『保険で良い歯科医療』の実現を求める請願署名」の活動を呼びかけました。この署名は2年に1度、「保険で良い歯科医療を」全国連絡会の一員として、取り組んでいるもの。今回集まった31万3917筆(うち民医連は20万1760筆)は、1月25日に国会に提出しました。
「この『歯科酷書』がいまの日本の歯科医療制度を変えて、誰もが安心して、保険で良い歯科医療を受けられる社会をつくる一翼を担えたら」と榊原医師。3月には記者会見を行う予定です。
署名31万筆超を提出
「保険で良い歯科医療を」全国連絡会は、1月25日に衆議院第1議員会館で署名提出集会を開催。参加した国会議員20人に署名を手渡しました。
いつでも元気 2018.3 No.317
